El Hospital Vithas de Granada extirpa con éxito un tumor cerebral de seis centímetros

Salud

La operación duró nueve horas y requirió la utilización de avanzados recursos técnicos

El Hospital Vithas de Granada elimina el reflujo esofagogástrico con una pionera técnica sin cirugía

El Hospital Vithas de Granada extirpa con éxito un tumor cerebral de seis centímetros
El Hospital Vithas de Granada extirpa con éxito un tumor cerebral de seis centímetros
R. G.

18 de marzo 2024 - 15:28

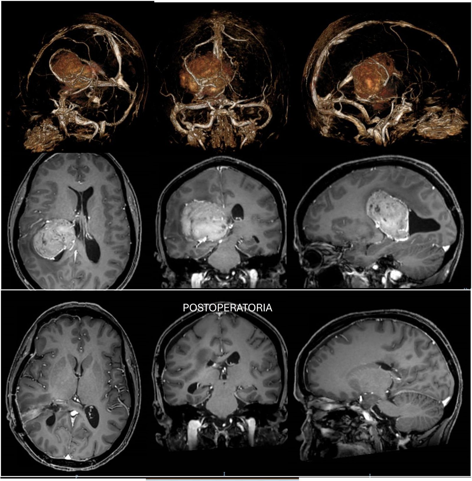
El Hospital Vithas Granada ha llevado a cabo con éxito una complicada intervención quirúrgica para extirpar un tumor en el cerebro de grandes dimensiones, en concreto seis centímetros de diámetro, según ha explicado el centro médico en un comunicado remitido a los medios.

Tras nueve horas de operación, la intervención, que fue llevada a cabo garantizando en todo momento la seguridad y el bienestar del paciente, resultó exitosa gracias al personal médico y las instalaciones del centro y requirió de la utilización de avanzados recursos técnicos como la navegación, el microscopio y la aspiración ultrasónica. Este tumor, caracterizado por síntomas como visión doble e inestabilidad, ha sido intervenido por un equipo de profesionales liderados por el neurocirujano Ángel Horcajadas, coordinador del equipo Neurosalus21.

Además de Horcajadas, en la intervención han participado la neurocirujana Ana Jorques y el anestesista Miguel Ángel Palacio, cuya labor fue fundamental para mantener un adecuado control anestésico durante el procedimiento quirúrgico.

También ha contado con la colaboración de dos enfermeros, una auxiliar y un celador. Es importante mencionar el trabajo realizado por el personal de enfermería y cuidados intensivos, cuyo esfuerzo conjunto facilitó la pronta recuperación de la paciente, quien fue dada de alta apenas cuatro días después de la cirugía, sin presentar secuelas.

El doctor Ángel Horcajadas, director del Instituto de Neurociencias Vithas en Granada, lidera un equipo multidisciplinar de expertos en neurología, neuropediatría, neurocirugía, neurofisiología, psiquiatría, neurorradiología y neurorrehabilitación.

Este instituto, inaugurado recientemente, representa un hito en la atención integral de pacientes con problemas neurológicos, han detallado desde Vithas.

stats