El SAS indemniza sólo con 3.000 euros a una paciente a la que dejó una aguja en el corazón

La mujer fue operada en 2004 por una insuficiencia cardiaca y le dejaron dentro material de sutura · Salud asume la negligencia y el daño psíquico pero no el físico y moral · La afectada pide 180.300 euros

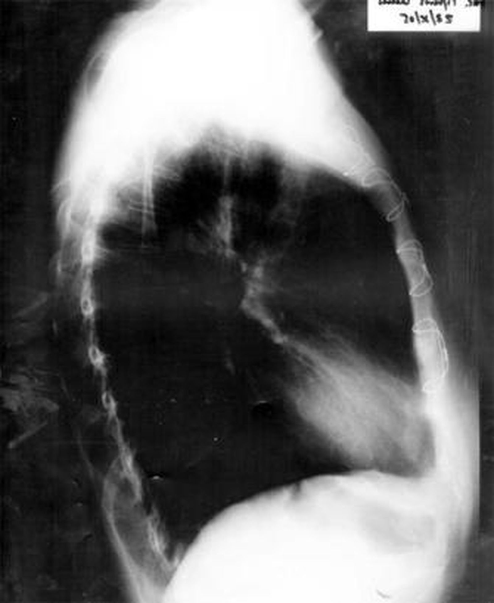
1. Imagen de las pruebas radiológicas realizadas a la paciente en las que se observa (en la ampliación) el cuerpo curvilíneo que resultó ser una aguja de sutura olvidada por el personal médico que le practicó la operación, en la que se intentó reparar el mal funcionamiento de la válvula mitral. Según los expertos, los objetos extraños son englobados por el organismo pero no se descarta que se mueva y tenga consecuencias.
1. Imagen de las pruebas radiológicas realizadas a la paciente en las que se observa (en la ampliación) el cuerpo curvilíneo que resultó ser una aguja de sutura olvidada por el personal médico que le practicó la operación, en la que se intentó reparar el mal funcionamiento de la válvula mitral. Según los expertos, los objetos extraños son englobados por el organismo pero no se descarta que se mueva y tenga consecuencias.
S. V. / Granada

03 de febrero 2008 - 01:00

La granadina E. P. J., de 59 años, vive desde marzo de 2004 con una aguja en el corazón. Un fallo humano en una operación hizo que los médicos se 'dejaran' una pequeña aguja de sutura en el pericardio, la membrana que envuelve el corazón.

La Consejería de Salud ha reconocido la "negligencia" pero sólo le ha concedido una indemnización de 3.000 euros. Una cantidad que se otorga para reparar el daño producido pero que ha sido considerada por la afectada como insuficiente teniendo en cuenta el riesgo de vivir con una aguja en el corazón. Por eso, ha interpuesto un recurso ante la Sala de lo Contencioso Administrativo del TSJA. La paciente pide 180.000 euros.

"Para comprender la entidad del daño basta con ponernos en su situación y pensar cómo viviríamos con una aguja en el corazón, con el permanente miedo y tensión", señala su abogado, José Miguel Castillo-Calvín.

Los hechos se remontan a febrero de 2003, cuando la mujer es diagnosticada de una insuficiencia mitral moderada-severa. Según el historial médico incorporado a la reclamación de responsabilidad patrimonial de la administración pública, iniciada en 2005, en marzo de 2004 se somete a una operación en el servicio de Cirugía Cardiovascular del Virgen de las Nieves. Operación que terminó con éxito. Ocho días más tarde recibió el alta.

Desde entonces no ha parado su periplo por médicos ni las dolencias cardiológicas. Sólo tres días después de recibir el alta fue a Urgencias con dolor en el hombro que le justificaron como normal tras una operación tan delicada.

Tras una primera revisión en abril de 2004, en la que no se vio nada raro, la paciente, aún con dolores y malestar, acudió en mayo a Urgencias del Hospital de la Axarquía -en Málaga-, donde, con dolor torácico punzante, le realizan pruebas radiológicas en las que se "evidencia imagen curvilínea de densidad metálica en localización de aurículo derecha". La aguja de sutura.

El médico que la operó estudia de nuevo el caso y le explica que la única solución es la cirugía, pero que "resulta muy arriesgado intervenirla" de nuevo, por lo que se desaconseja. Pero le aseguran que la existencia de la aguja no conlleva peligro para su vida.

La realidad de la paciente es bien distinta ya que el dolor sigue en aumento y comienza con las crisis de ansiedad, insomnio y miedo a realizar una vida normal porque la aguja se le pueda clavar.

Los especialistas aseguran que ese dolor no está relacionado con la aguja pero la verdad es que no han sabido buscarle una causa.

El expediente de resolución del SAS (2007) reconoce negligencia médica al dejarse la aguja, olvido del que culpan al personal, que no contó bien el material tras la operación y considera los efectos psíquicos que ha causado en la paciente, que fue tratada por un psicólogo de trastorno por estrés postraumático.

Incluso un informe del Departamento de Medicina Legal de la Universidad de Granada corrobora la tesis de la deficiencia asistencial, que puede causar complicaciones muy graves como taponamiento cardiaco.

El SAS reconoce e ingresa 3.149,60 euros a la paciente por el daño psíquico "ya que no existe daño físico cierto y actual acreditado. Distinto es el daño físico futurible y la Administración no es responsable de daños que aún no se han producido" y que los médicos no contemplan, explica el informe.

La paciente espera ahora que el recurso le dé la razón.

stats