Los niños con mejor forma física tienen cerebros más grandes, según un estudio en el que participa la Universidad de Granada

UGR

Investigadores de la UGR lideran el proyecto ActiveBrains, en el que han participado más de 100 niños con sobrepeso u obesidad

Imagen de archivo de una carrera escolar en Santa Fe.
Imagen de archivo de una carrera escolar en Santa Fe. / R. G.
R. G.

11 de febrero 2021 - 13:01

Los niños que tienen mejor forma física tienen cerebros más grandes, y tanto la capacidad aeróbica como la fuerza o la velocidad están relacionadas con la cantidad de materia gris y blanca del cerebro en niños con sobrepeso u obesidad. Además, una mayor cantidad de materia blanca en el cerebro está relacionada con un mayor rendimiento cognitivo.

Así lo han demostrado investigadores de la Universidad de Granada (UGR), pertenecientes al departamento de Educación Física y Deportiva de la Facultad de Ciencias del Deporte, al Instituto Mixto Salud y Deporte (iMUDS) y al Centro de Investigación Mente, Cerebro y Comportamiento (CIMCYC) que lideran el proyecto ActiveBrains, en el que han participado más de 100 niños con sobrepeso u obesidad.

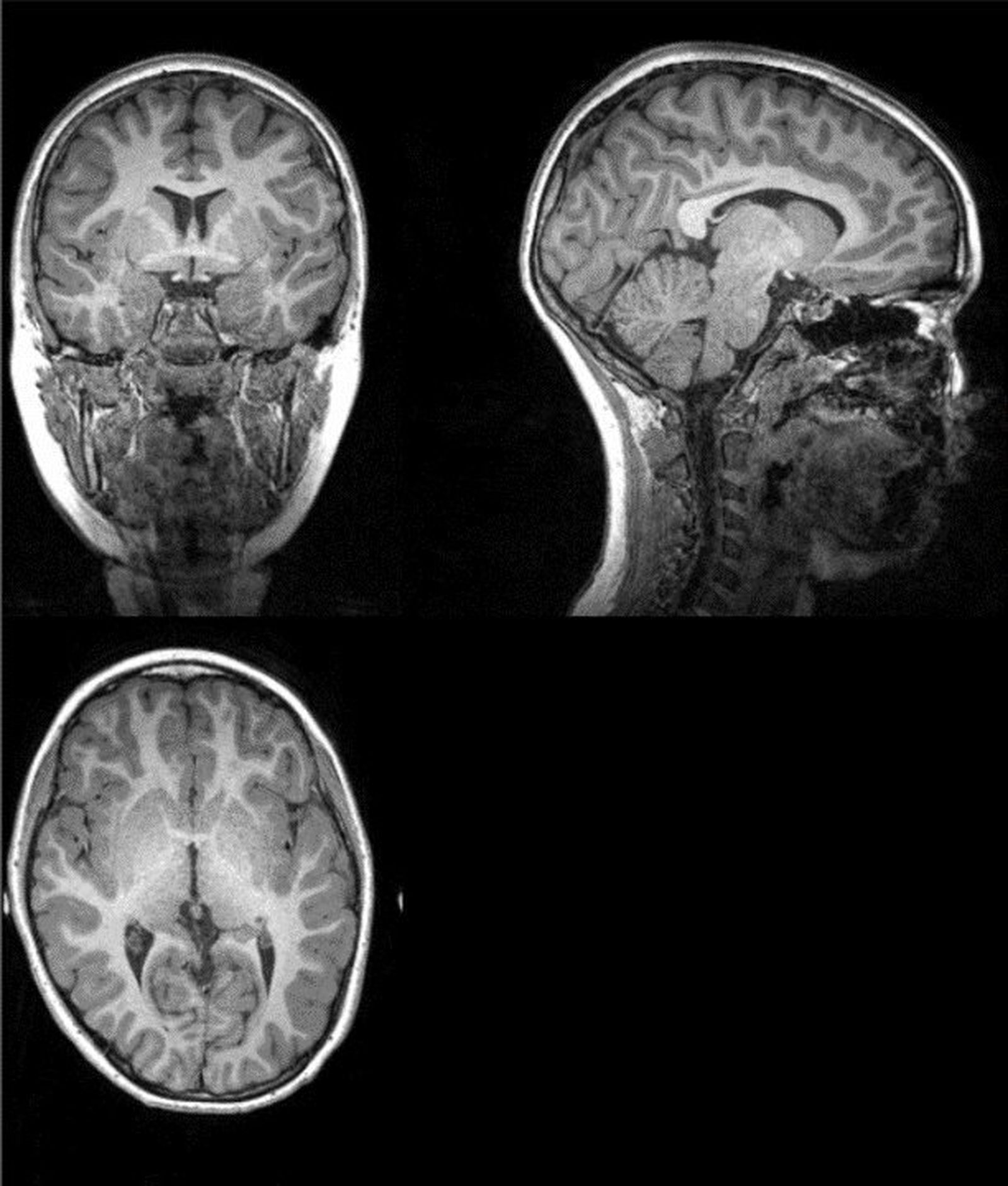
Ejemplo de imagen original de la resonancia magnética a partir de la cual los investigadores extrajeron la cantidad total de materia gris, materia blanca, y cantidad total cerebral.
Ejemplo de imagen original de la resonancia magnética a partir de la cual los investigadores extrajeron la cantidad total de materia gris, materia blanca, y cantidad total cerebral. / R. G.

Este trabajo, publicado en la revista Scandinavian Journal of Medicine &Science in Sports, revela que los niños que fueron clasificados como “en forma” tenían mayor cantidad de materia gris, materia blanca, y en general, cerebros más grandes que aquellos niños que fueron agrupados como “en baja forma”. Asimismo, tener más materia blanca en el cerebro estaba relacionado con un mayor rendimiento cognitivo, concretamente, mayor flexibilidad cognitiva y función ejecutiva.

“Nuestra investigación demuestra la importancia de tener una buena forma física en edades tempranas para un mejor desarrollo cerebral como es la infancia”, explica Cristina Cadenas-Sanchez, investigadora postdoctoral del grupo de investigación PROFITH de la UGR y autora principal del trabajo.

Los investigadores de la UGR Cristina Cadenas-Sanchez y Francisco Ortega, autores de este trabajo.
Los investigadores de la UGR Cristina Cadenas-Sanchez y Francisco Ortega, autores de este trabajo. / R. G.

“Estudios previos habían demostrado que, durante el envejecimiento, el cerebro se va encogiendo y el ejercicio físico y una buena condición física pueden atenuar este proceso fisiológico. Nuestro estudio viene a demostrar, por primera vez, que en el polo opuesto de la vida, la infancia, donde el cerebro está en crecimiento y desarrollo, mantener buenos niveles de condición física está ligado a un mayor desarrollo cerebral total. Estos hallazgos conllevan importantes implicaciones: 1) evaluar los niveles de condición física en etapa escolar, no es solo informativo del nivel de salud física como ya han demostrado estudios previos, sino también de salud cerebral; y 2) abre las puertas a investigar cómo aumentando el nivel de condición física mediante programas de ejercicio físico en niños/as puede beneficiar el desarrollo cerebral y la cognición”, explica el investigador principal del proyecto, Francisco B. Ortega.

stats